2024/08/20
インビザライン, すべての矯正, ホワイトニング, 他の治療も同時に, 叢生, 大人の矯正
がたがたが気になる、なるべく抜きたくない
叢生、虫歯治療
50代 女性
1年6ヶ月
インビザライン、ホワイトニング、セラミック治療
979,000円+毎月調整代5,500円
矯正治療中は装置の装着により、歯磨きがしにくく、また汚れも溜まりやすいため、虫歯や歯肉炎になりやすいです。また歯を動かすと歯根が短くなることがあります。
※ご紹介している症例は、あくまでも患者様固有の症例ですので、実際には患者さまによって治療期間や、治療法など個人差がございます。







インビザラインと同時にホームホワイトニング(8,250円×2)もスタートしました。
4ヶ月で歯並び色ともに改善中です。1年6ヶ月で矯正終了。これから古い詰め物の治療を続けます。
ホワイトニングスタート時
治療途中
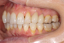
矯正治療終了時虫歯治療前
虫歯治療が終了し、お色もすべて改善しました。自信をもって笑えると笑顔も素敵になります。







2年後のメンテナンスも、週1ホームメンテでさらにキレイと白さを保ってます。
しっかり噛めるようになると、表情筋も活発に運動できるようになります。お肌の代謝もよくなり、フェイスラインも綺麗になっています。


