2025/10/14
インビザライン, インプラントアンカー, すべての矯正, 出っ歯, 大人の矯正

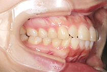
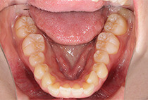
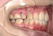
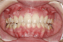
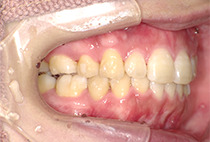
口元が出ている(口ボコ)とガミースマイルが気になる患者さま。
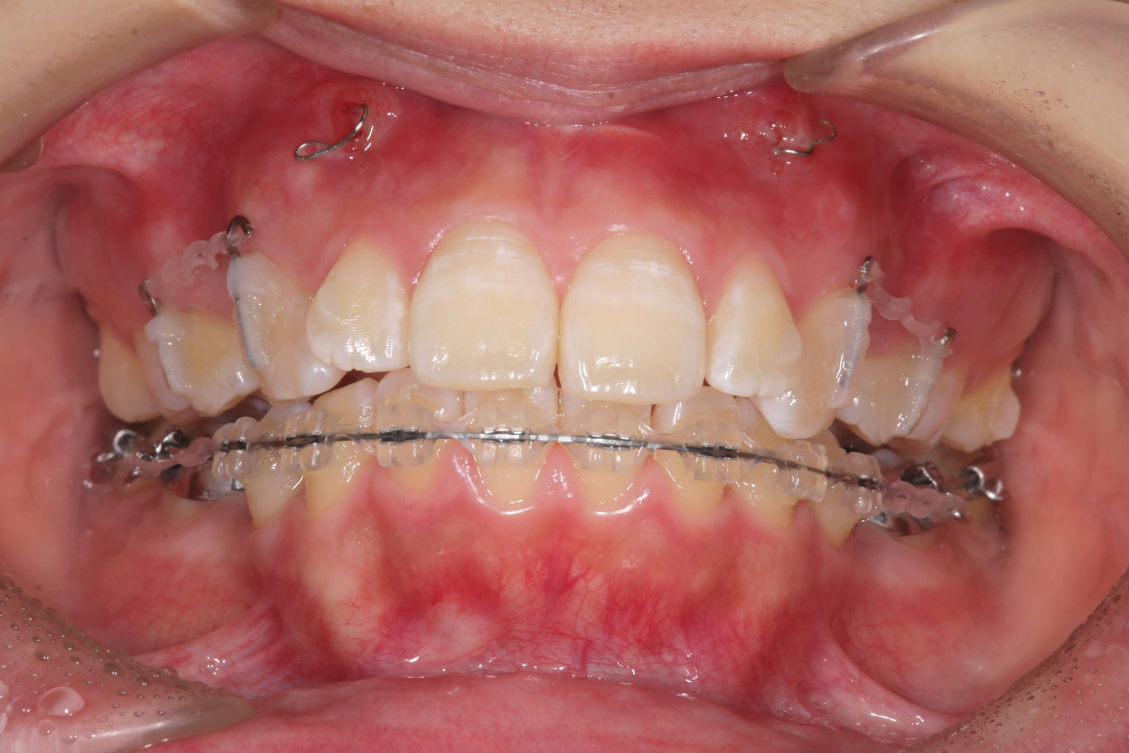
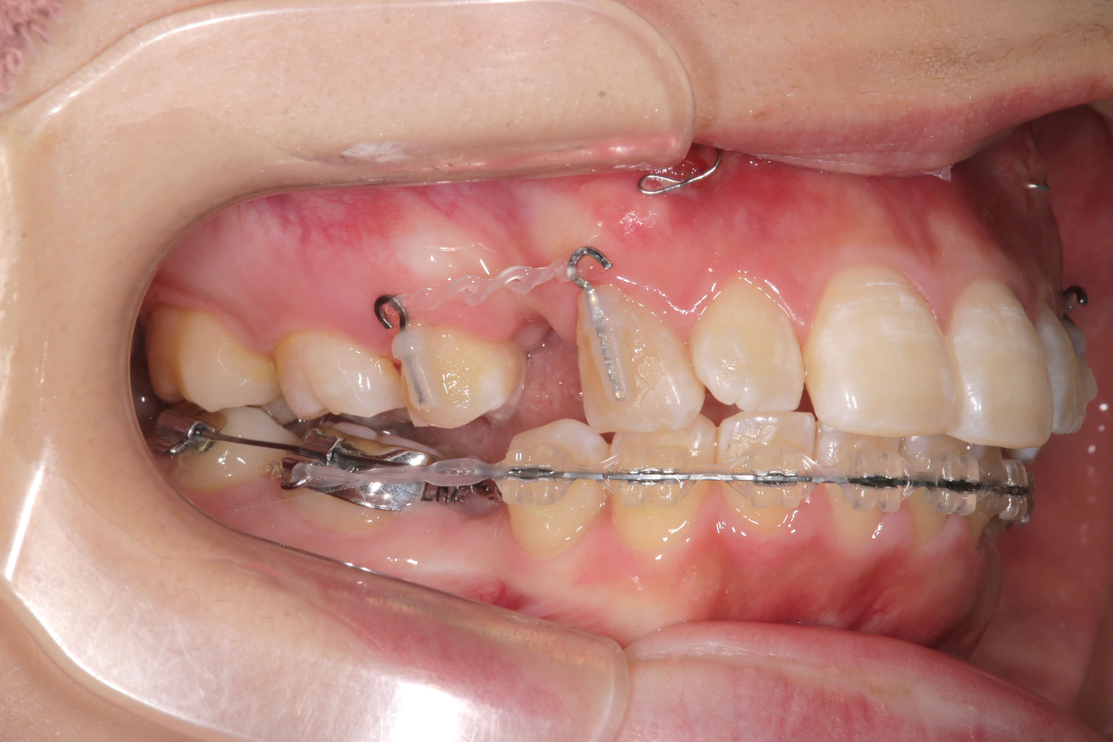
出っ歯と同時にガミースマイルを治療するには、インプラントアンカーの使用が効果的です。
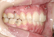
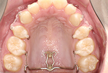
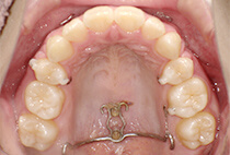
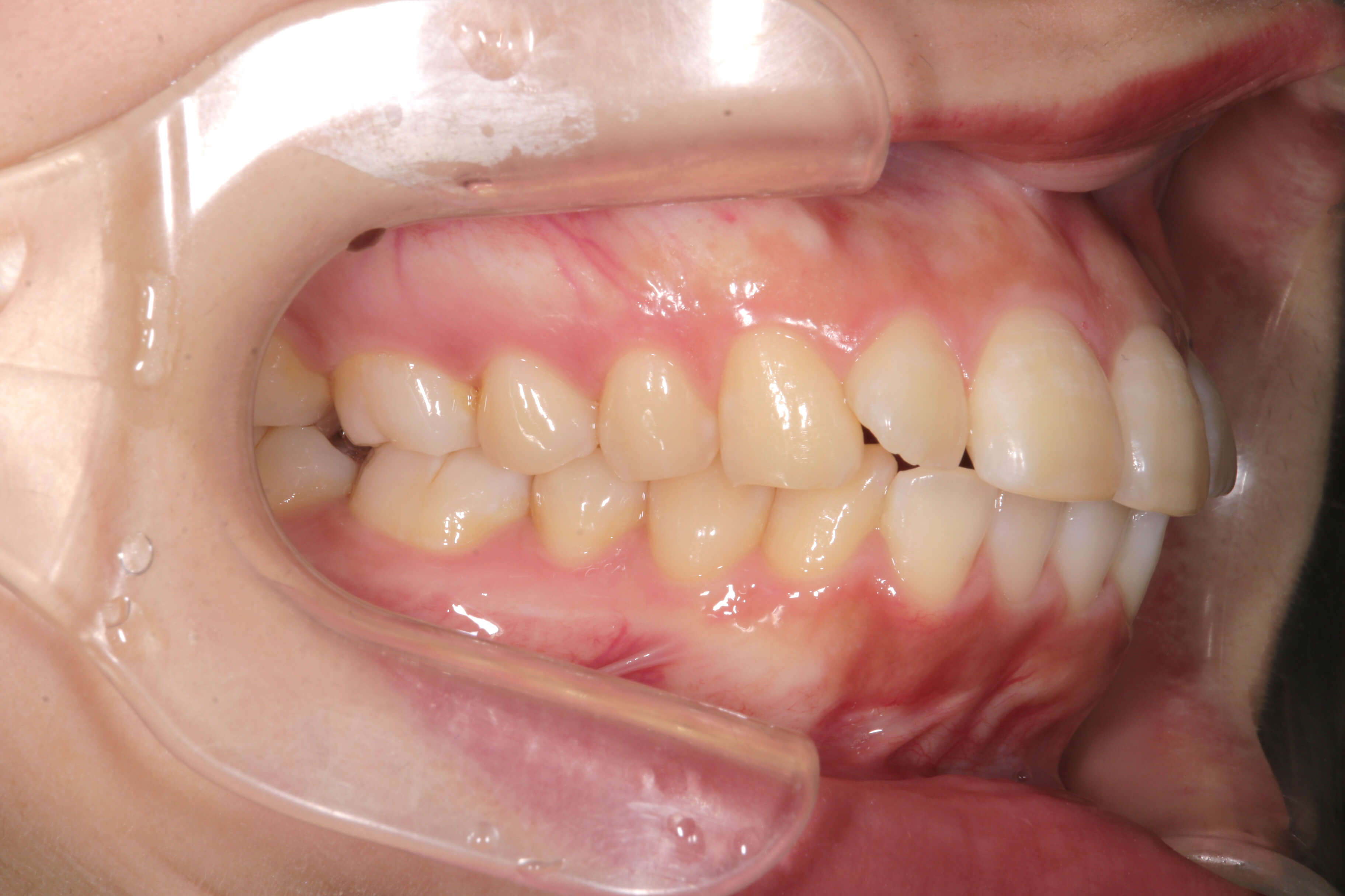
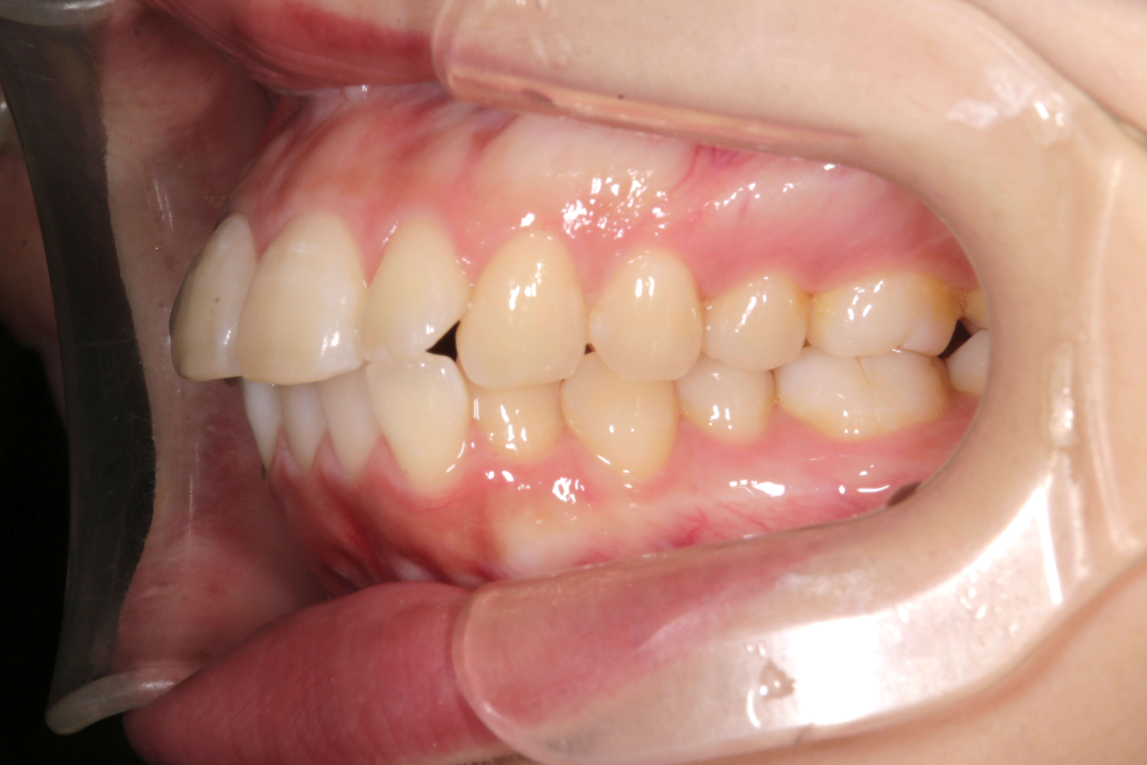
上下4本抜歯で前歯を下げる。前歯の圧下でガミースマイルもしっかり改善。
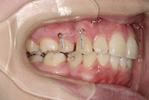
長期に地元を離れる予定もあり、効率よく治療したいとのご希望。臼歯の移動を確実に行うため初めの11ヶ月のみ下顎に唇側ブラケット装置を併用、ガミースマイルも改善しました。その後来院できない期間にインビザランで治療を継続しました。
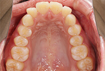
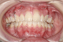
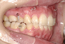
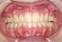
1年6ヶ月で理想的な口元に改善、その後10ヶ月かけてかみ合わせを微調整しました。
インプラントアンカーは適切に使用することで、歯根の吸収予防や治療期間の短縮に役立ちます。
ガミースマイル、口元が出ている
上下顎前突
20代女性
2年4ヶ月
20回
インビザライン、ブラケット、インプラントアンカー
矯正:1,333,200円+毎月調整量:6,050円






早期に口元を改善し、その後安心してかみ合わせの微調整に専念できました。















臼歯の移動を確実に行うため初めの11ヶ月のみ下顎に唇側ブラケット装置を併用。


1年6ヶ月で理想的な口元に改善。


その後10ヶ月でかみ合わせを微調整。


矯正治療中は装置の装着により、歯磨きがしにくく、また汚れも溜まりやすいため、虫歯や歯肉炎になりやすいです。また歯を動かすと歯根が短くなることがあります。
※ご紹介している症例は、あくまでも患者さま固有の症例ですので、実際には患者さまによって治療期間や、治療法など個人差がございます。