2025/10/16
20代女性の患者さま。
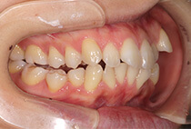
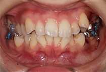
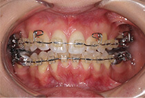
八重歯の見た目が気になってご来院されましたが、実は顎の痛みや開口障害など、顎関節症の症状もありました。
治療のポイント
そのため、かみ合わせと顎関節症の治療を同時に行ったにもかかわらず、2年間で治療が終了。
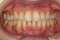
かみ合わせが整い咬筋の過緊張も改善しました。咬筋の肥大も治ってフェイスラインがすっきりしました。
最終的には美しい歯並びと、安定した痛みのないかみ合わせが実現しました。
八重歯が気になる
叢生、顎関節症、開口障害
20代女性
矯正治療2年
24回
唇側矯正
矯正:1,161,600円+毎月調整量:6,050円





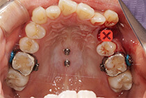
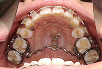
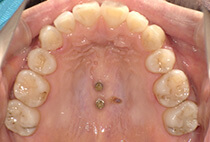
しっかり前歯を下げるために、インプラントアンカーを使用してコントロールしました。








かみ合わせが整うと咬筋の過緊張が改善。
過緊張による筋肉肥大も改善しフェイスラインもすっきりしました。
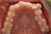
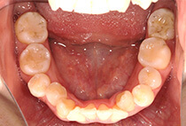
治療前
治療後
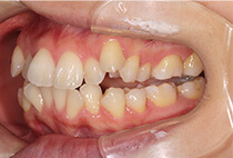
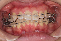
治療前
治療後
矯正治療中は装置の装着により、歯磨きがしにくく、また汚れも溜まりやすいため、虫歯や歯肉炎になりやすいです。また歯を動かすと歯根が短くなることがあります。
※ご紹介している症例は、あくまでも患者さま固有の症例ですので、実際には患者さまによって治療期間や、治療法など個人差がございます。
32.唇側矯正・歯茎の治療・審美治療・フェイスライン改善・40代女性
記事はありません