2025/11/27
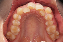
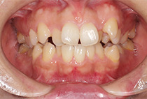
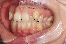
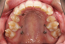
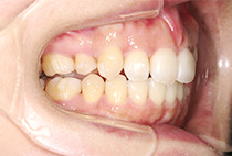
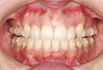
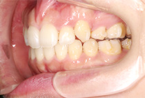
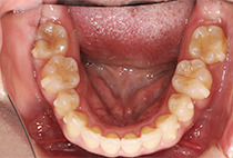
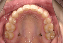
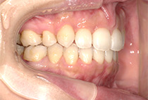
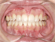
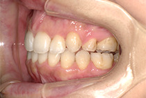
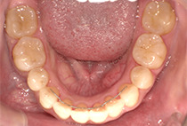
出っ歯と前歯のガタつきにお悩みだった20代女性の症例です。
金属アレルギーがあるため、メタルフリーで治療できる【インビザライン】による抜歯矯正を選択されました。
治療計画
前歯のガタガタ、中心のずれ、顎のずれ、外科矯正は避けたい
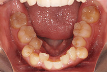
叢生、左右非対称咬合
20代女性
矯正治療2年6ヶ月
30回
インビザライン、インプラントアンカー、美容治療
矯正:1,137,400円+毎月調整量:6,050円









また、気になっていたオトガイ(顎先)の左右差に対して、
を行い、フェイスラインも自然に整えました。
矯正は「歯並びを治す」だけではありません。
当院では、呼吸・噛み合わせ・顔貌バランス・美容までトータルに整える顎顔面治療を行っています。















矯正治療中は装置の装着により、歯磨きがしにくく、また汚れも溜まりやすいため、虫歯や歯肉炎になりやすいです。また歯を動かすと歯根が短くなることがあります。
※ご紹介している症例は、あくまでも患者さま固有の症例ですので、実際には患者さまによって治療期間や、治療法など個人差がございます。