2025/11/27
インプラントアンカー, 全ての症例, 唇側矯正, 時間効率の良い矯正, 美容歯科
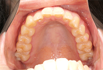
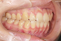
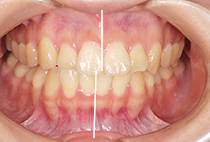
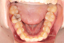
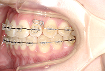
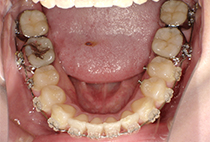
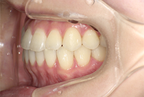
外科矯正なしで「顎のずれを整えたい」と来院された20代女性。
精密検査の結果、原因は骨格の非対称だけでなく、
かみ合わせ・咬合平面の傾き、そして左右非対称な筋肉の肥大でした。
治療計画
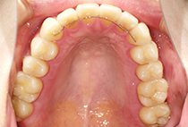
1年3ヶ月の非抜歯矯正で、ずれていたかみ合わせが改善。
前歯のガタガタ、中心のずれ、顎のずれ、外科矯正なしで「顎のずれを整えたい」
叢生、左右非対称
20代女性
1年6ヶ月
20回
唇側矯正、インプラントアンカー、美容治療
矯正:1,197,900円+毎月調整量:6,050円

























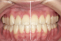
治療後はさらにフェイスラインの左右差を整えるため、オトガイ部・頬のふくらみにヒアルロン酸注射を施し、よりバランスの取れた美しい顔立ちに。
鏡を見るのが楽しみになり、髪をまとめるスタイルにも自信がつきました。

終了から1年4ヶ月後もシンメトリーは維持されています。
今後もかみ合わせと筋肉の機能を左右対称にチェックするメンテナンスを継続予定です。
矯正治療中は装置の装着により、歯磨きがしにくく、また汚れも溜まりやすいため、虫歯や歯肉炎になりやすいです。また歯を動かすと歯根が短くなることがあります。
※ご紹介している症例は、あくまでも患者さま固有の症例ですので、実際には患者さまによって治療期間や、治療法など個人差がございます。
34.フェイスラインまで整える矯正治療・叢生・非対称改善・20代女性
記事はありません