2026/02/16
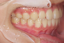
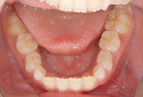
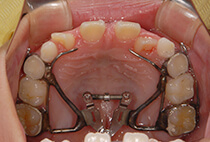
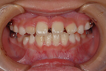
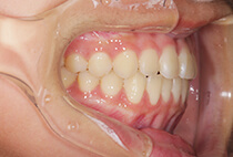
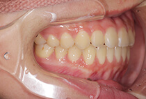
5歳6ヶ月、受け口が気になるとお母様と一緒にご来院。
「幼稚園の間に治療スタートしたい」「小学校入学時には装置に慣れた状態でいたい」とのご希望で、矯正治療をスタートしました。
治療は、急速拡大+前方けん引装置から。
3ヶ月で骨格バランスが大きく改善し、1年3ヶ月後にはさらにバランスの整ったお顔立ちへ。
成長に合わせて3回の急速拡大を行い、夜間のマウスピースとお口の機能訓練で成長をサポート。小学生を正常なバランスで過ごすことができました。
中学校入学と同時にマウスピースを卒業し、今後は予防管理へ移行予定です。
「早めに始めてよかった」と喜んでいらっしゃいます。
受け口が気になる
骨格性反対咬合
5歳男児
6年
48回
小児矯正、急速拡大装置、上顎前方けん引
矯正:小児矯正508,200円+毎月調整料:6,050円









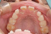
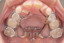
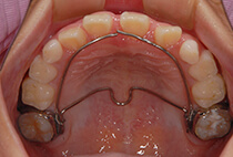
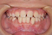
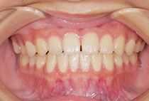
5歳6ヶ月、受け口が気になり、お母様と一緒にご来院。
「幼稚園の間に治療スタートしたい」「小学校入学時には装置に慣れた状態でいたい」とのご希望で、矯正治療をスタートしました。







治療は、急速拡大+前方牽引装置から。
1ヶ月で骨格バランスが大きく改善しました。
小学1年生の7ヶ月後には、さらにバランスの整った噛み合わせに。







成長に合わせて3回の急速拡大を行い、夜間のマウスピースとお口の機能訓練で成長をサポート。
小学生を正常なバランスで過ごすことができました。





中学校入学と同時にマウスピースを卒業し、今後は予防管理へ移行予定です。
「早めに始めてよかった」と喜んでいらっしゃいます。
矯正治療中は装置の装着により、歯磨きがしにくく、また汚れも溜まりやすいため、虫歯や歯肉炎になりやすいです。また歯を動かすと歯根が短くなることがあります。
※ご紹介している症例は、あくまでも患者さま固有の症例ですので、実際には患者さまによって治療期間や、治療法など個人差がございます。
2026/01/26
こどもの矯正, コルチコトミー, すべての矯正, 受け口, 歯を抜かない矯正
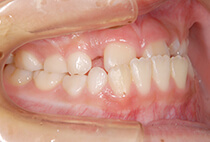
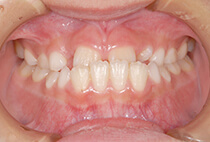
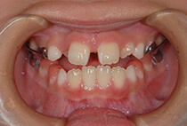
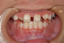
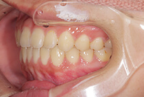
小学2年生の終わり、
「将来は外科矯正が必要」と言われた受け口の女の子。
小学生の成長力を最大限に生かすため、
上顎の成長促進・過蓋咬合の改善・機能訓練を同時にスタートしました。
1年後(小3 → 小4)
かみ合わせもお顔立ちも大きく改善。
その後も機能訓練×かみ合わせの維持をコツコツ継続。
受け口で外科矯正が必要と言われた。
骨格性反対咬合
7歳(小学3年生)、女性
矯正治療4年
48回
急速拡大装置、上顎前方けん引装置、コルチコトミー
矯正:955,900円+毎月調整料:6,050円





診断の結果は、以下が原因の骨格性反対咬合。
反対咬合でよくあるケースです。

治療方法は、小さな上顎の成長誘導。
急速拡大装置と前方けん引装置を使用します。






















かみ合わせもお顔立ちも大きく改善。
その後も機能訓練×かみ合わせの維持をコツコツ継続。







成長のピークに合わせて上顎をもう一度拡大し、前歯のかみ合わせをさらに安定化。
成長期の波に合わせることで、より調和の取れた横顔へ。





治療開始から6年後。
治療終了後2年経っても、安定したかみ合わせと自然な横顔をキープ。
2年生で外科矯正と言われた受け口も、4年生になる頃にはすでに「バランスの良いお顔立ち」に。のびのびと成長期を過ごすことができました。
矯正治療中は装置の装着により、歯磨きがしにくく、また汚れも溜まりやすいため、虫歯や歯肉炎になりやすいです。また歯を動かすと歯根が短くなることがあります。
※ご紹介している症例は、あくまでも患者さま固有の症例ですので、実際には患者さまによって治療期間や、治療法など個人差がございます。
2025/11/27
インプラントアンカー, すべての矯正, 口元美容ケア, 大人の矯正, 歯を抜かない矯正, 表側矯正
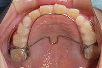
外科矯正なしで「顎のずれを整えたい」と来院された20代女性。
精密検査の結果、原因は骨格の非対称だけでなく、
かみ合わせ・咬合平面の傾き、そして左右非対称な筋肉の肥大でした。
治療計画
1年3ヶ月の非抜歯矯正で、ずれていたかみ合わせが改善。
前歯のガタガタ、中心のずれ、顎のずれ、外科矯正なしで「顎のずれを整えたい」
叢生、左右非対称
20代女性
1年6ヶ月
20回
唇側矯正、インプラントアンカー、美容治療
矯正:1,197,900円+毎月調整量:6,050円

























治療後はさらにフェイスラインの左右差を整えるため、オトガイ部・頬のふくらみにヒアルロン酸注射を施し、よりバランスの取れた美しい顔立ちに。
鏡を見るのが楽しみになり、髪をまとめるスタイルにも自信がつきました。

終了から1年4ヶ月後もシンメトリーは維持されています。
今後もかみ合わせと筋肉の機能を左右対称にチェックするメンテナンスを継続予定です。
矯正治療中は装置の装着により、歯磨きがしにくく、また汚れも溜まりやすいため、虫歯や歯肉炎になりやすいです。また歯を動かすと歯根が短くなることがあります。
※ご紹介している症例は、あくまでも患者さま固有の症例ですので、実際には患者さまによって治療期間や、治療法など個人差がございます。
2025/11/27
インビザライン, インプラントアンカー, すべての矯正, 叢生, 口元美容ケア, 大人の矯正
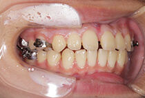
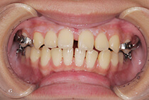
出っ歯と前歯のガタつきにお悩みだった20代女性の症例です。
金属アレルギーがあるため、メタルフリーで治療できる【インビザライン】による抜歯矯正を選択されました。
治療計画
前歯のガタガタ、中心のずれ、顎のずれ、外科矯正は避けたい
叢生、左右非対称咬合
20代女性
矯正治療2年6ヶ月
30回
インビザライン、インプラントアンカー、美容治療
矯正:1,137,400円+毎月調整量:6,050円









また、気になっていたオトガイ(顎先)の左右差に対して、
を行い、フェイスラインも自然に整えました。
矯正は「歯並びを治す」だけではありません。
当院では、呼吸・噛み合わせ・顔貌バランス・美容までトータルに整える顎顔面治療を行っています。















矯正治療中は装置の装着により、歯磨きがしにくく、また汚れも溜まりやすいため、虫歯や歯肉炎になりやすいです。また歯を動かすと歯根が短くなることがあります。
※ご紹介している症例は、あくまでも患者さま固有の症例ですので、実際には患者さまによって治療期間や、治療法など個人差がございます。
2025/10/16
インプラントアンカー, すべての矯正, 叢生, 大人の矯正, 表側矯正
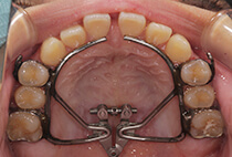
20代女性の患者さま。
八重歯の見た目が気になってご来院されましたが、実は顎の痛みや開口障害など、顎関節症の症状もありました。
治療のポイント
そのため、かみ合わせと顎関節症の治療を同時に行ったにもかかわらず、2年間で治療が終了。
かみ合わせが整い咬筋の過緊張も改善しました。咬筋の肥大も治ってフェイスラインがすっきりしました。
最終的には美しい歯並びと、安定した痛みのないかみ合わせが実現しました。
八重歯が気になる
叢生、顎関節症、開口障害
20代女性
矯正治療2年
24回
唇側矯正
矯正:1,161,600円+毎月調整量:6,050円





しっかり前歯を下げるために、インプラントアンカーを使用してコントロールしました。








かみ合わせが整うと咬筋の過緊張が改善。
過緊張による筋肉肥大も改善しフェイスラインもすっきりしました。
治療前
治療後
治療前
治療後
矯正治療中は装置の装着により、歯磨きがしにくく、また汚れも溜まりやすいため、虫歯や歯肉炎になりやすいです。また歯を動かすと歯根が短くなることがあります。
※ご紹介している症例は、あくまでも患者さま固有の症例ですので、実際には患者さまによって治療期間や、治療法など個人差がございます。