2025/11/27
インプラントアンカー, 全ての症例, 口元美容ケア, 唇側矯正, 時間効率の良い矯正
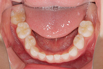
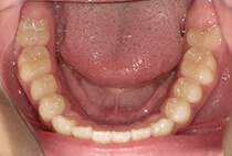
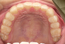
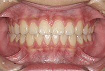
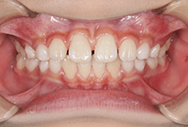
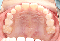
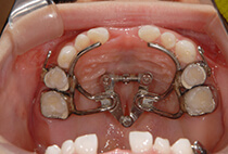
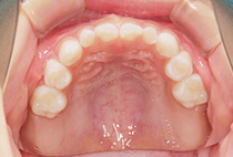
外科矯正なしで「顎のずれを整えたい」と来院された20代女性。
精密検査の結果、原因は骨格の非対称だけでなく、
かみ合わせ・咬合平面の傾き、そして左右非対称な筋肉の肥大でした。
治療計画
1年3ヶ月の非抜歯矯正で、ずれていたかみ合わせが改善。
前歯のガタガタ、中心のずれ、顎のずれ、外科矯正なしで「顎のずれを整えたい」
叢生、左右非対称
20代女性
1年6ヶ月
20回
唇側矯正、インプラントアンカー、美容治療
矯正:1,197,900円+毎月調整量:6,050円

























治療後はさらにフェイスラインの左右差を整えるため、オトガイ部・頬のふくらみにヒアルロン酸注射を施し、よりバランスの取れた美しい顔立ちに。
鏡を見るのが楽しみになり、髪をまとめるスタイルにも自信がつきました。

終了から1年4ヶ月後もシンメトリーは維持されています。
今後もかみ合わせと筋肉の機能を左右対称にチェックするメンテナンスを継続予定です。
矯正治療中は装置の装着により、歯磨きがしにくく、また汚れも溜まりやすいため、虫歯や歯肉炎になりやすいです。また歯を動かすと歯根が短くなることがあります。
※ご紹介している症例は、あくまでも患者さま固有の症例ですので、実際には患者さまによって治療期間や、治療法など個人差がございます。
2025/11/27
インプラントアンカー, 全ての症例, 口元美容ケア, 目立ちにくい矯正, 矯正
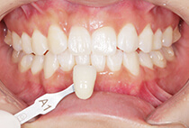
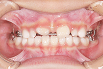
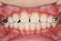
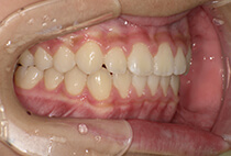
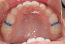
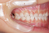
出っ歯と前歯のガタつきにお悩みだった20代女性の症例です。
金属アレルギーがあるため、メタルフリーで治療できる【インビザライン】による抜歯矯正を選択されました。
治療計画
前歯のガタガタ、中心のずれ、顎のずれ、外科矯正は避けたい
叢生、左右非対称咬合
20代女性
矯正治療2年6ヶ月
30回
インビザライン、インプラントアンカー、美容治療
矯正:1,137,400円+毎月調整量:6,050円









また、気になっていたオトガイ(顎先)の左右差に対して、
を行い、フェイスラインも自然に整えました。
矯正は「歯並びを治す」だけではありません。
当院では、呼吸・噛み合わせ・顔貌バランス・美容までトータルに整える顎顔面治療を行っています。















矯正治療中は装置の装着により、歯磨きがしにくく、また汚れも溜まりやすいため、虫歯や歯肉炎になりやすいです。また歯を動かすと歯根が短くなることがあります。
※ご紹介している症例は、あくまでも患者さま固有の症例ですので、実際には患者さまによって治療期間や、治療法など個人差がございます。
2025/10/16
インプラントアンカー, 全ての症例, 叢生, 唇側矯正, 大人の矯正, 矯正
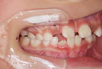
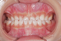
20代女性の患者さま。
八重歯の見た目が気になってご来院されましたが、実は顎の痛みや開口障害など、顎関節症の症状もありました。
治療のポイント
そのため、かみ合わせと顎関節症の治療を同時に行ったにもかかわらず、2年間で治療が終了。
かみ合わせが整い咬筋の過緊張も改善しました。咬筋の肥大も治ってフェイスラインがすっきりしました。
最終的には美しい歯並びと、安定した痛みのないかみ合わせが実現しました。
八重歯が気になる
叢生、顎関節症、開口障害
20代女性
矯正治療2年
24回
唇側矯正
矯正:1,161,600円+毎月調整量:6,050円





しっかり前歯を下げるために、インプラントアンカーを使用してコントロールしました。








かみ合わせが整うと咬筋の過緊張が改善。
過緊張による筋肉肥大も改善しフェイスラインもすっきりしました。
治療前
治療後
治療前
治療後
矯正治療中は装置の装着により、歯磨きがしにくく、また汚れも溜まりやすいため、虫歯や歯肉炎になりやすいです。また歯を動かすと歯根が短くなることがあります。
※ご紹介している症例は、あくまでも患者さま固有の症例ですので、実際には患者さまによって治療期間や、治療法など個人差がございます。
2025/10/14
全ての症例, 叢生, 唇側矯正, 大人の矯正, 矯正, 矯正と同時にできる治療

40代女性の患者さま。
グラグラする歯と乱れた歯並びが気になりご来院されました。
「見た目も気になるし、このまま歯が抜けるかも…」そんな不安を抱えていらっしゃいました。
治療は3ステップで進めました。
矯正後は、かぶせ物の治療もあわせて行い、「しっかり噛めて、見た目も自然で美しく」を達成できました。
しっかり噛めるようになったことで頬のコケ間や口元のゆるみが改善され若々しく引き締まった印象になりました。
そして何より、治療終了から15年後も歯ぐき・歯並びともに安定し、健康的で美しいお口元をキープされています。
グラグラする歯と乱れた歯並びが気になる
叢生、重度歯周病
40代女性
矯正治療1年、歯周治療3ヶ月
12回
唇側矯正、審美治療、歯周病治療
矯正:955,900円+毎月調整量:6,050円





歯ぐきの炎症をしっかり改善(歯周病治療)してから、装置セット。


歯並びと噛み合わせを整える(表側矯正・1年間)。




見た目と機能の仕上げ(審美的なかぶせ物)。


しっかり噛めるようになったことで頬のコケ間や口元のゆるみが改善され若々しく引き締まった印象になりました。
治療前
治療後
治療終了から15年後も歯ぐき・歯並びともに安定し、健康的で美しいお口元をキープされています。
矯正治療中は装置の装着により、歯磨きがしにくく、また汚れも溜まりやすいため、虫歯や歯肉炎になりやすいです。また歯を動かすと歯根が短くなることがあります。
※ご紹介している症例は、あくまでも患者さま固有の症例ですので、実際には患者さまによって治療期間や、治療法など個人差がございます。
2025/10/14
インビザライン, インプラントアンカー, 全ての症例, 大人の矯正, 矯正, 過蓋咬合

出っ歯を目立たずしっかり治したい。とのご希望、ビジネスシーンでも目立たないインビザラインを選択なさいました。30代男性の症例です。
治療計画は
抜歯した上顎も親知らずまできれいに並べたことで、上下ともに14本ずつ=非抜歯と同じ28本の歯列が完成しました。
治療から2年後も+ホワイトニングできれいな歯並びを保っています。
出っ歯が気になる
上顎前突、過蓋咬合
30代男性
3.5年
36回
唇側矯正、圧下用インプラントアンカー
矯正:1,270,500円+毎月調整量:6,050円





上顎2本抜歯して前歯を下げます。






奥歯のかみ合わせを治します。


インプラントアンカーを使用して前歯をしっかりコントロール、
過蓋咬合(かみ合わせの深さ)を改善しました。
治療から2年後も+ホワイトニングできれいな歯並びを保っています。
治療前
治療後
治療前
治療後
矯正治療中は装置の装着により、歯磨きがしにくく、また汚れも溜まりやすいため、虫歯や歯肉炎になりやすいです。また歯を動かすと歯根が短くなることがあります。
※ご紹介している症例は、あくまでも患者さま固有の症例ですので、実際には患者さまによって治療期間や、治療法など個人差がございます。