症例・歯科コラム
上顎前突, 全ての症例, 大人の矯正, 矯正, 空隙歯列, 費用を抑えたい方, 過蓋咬合, 部分矯正
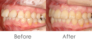
出っ歯と笑った時の歯茎が気になって来院なさいました。 お住まいが遠方ということもあり、負担の少ない部分矯正で短期間に治療する方法をご希望なさいました。 少しずつ歯を小さく形態修正しできたスペースを使って前歯を引っ込めました。さらに、インプラントアンカーで前歯を沈めることでガミースマイルを改善しました。
上顎前突, 全ての症例, 大人の矯正, 目立ちにくい矯正, 矯正, 空隙歯列
前歯の隙間や出っ歯を気にして来院されました。マウスピースでの治療をご希望ですでに他医院で数年間の治療を受けたご経緯がありました。 薄いアライナーで治療できるインビザラインシステムで治療計画を立てました。
全ての症例, 大人の矯正, 目立ちにくい矯正, 矯正, 空隙歯列, 過蓋咬合
舌側矯正治療で嚙み込みすぎた噛み合わせを改善しました。下の前歯による上の前歯の突き上げもなくなり歯茎も安定しました。新しいかみ合わせに合わせて、被せ物や虫歯の治療を行う治療計画を立てました。
あいおい歯科・インプラント矯正クリニック副院長 古野 智美HPはこちらhttps://www.yamaguchi-kyousei.com/
歯並びや噛み合わせに不具合を感じている方は、ぜひお気軽にご相談ください。