2024/08/08
上顎前突, 全ての症例, 大人の矯正, 矯正, 空隙歯列, 費用を抑えたい方, 過蓋咬合, 部分矯正
出っ歯と笑った時の歯茎が気になって来院なさいました。お住まいが遠方ということもあり、負担の少ない部分矯正で短期間に治療する方法をご希望なさいました。
少しずつ歯を小さく形態修正しできたスペースを使って前歯を引っ込めました。さらに、インプラントアンカーで前歯を沈めることでガミースマイルを改善しました。
出っ歯が改善するだけではなく下の前歯が上の歯茎に噛み込んで炎症が起こっていた状態も改善しました。
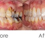
出っ歯と歯茎が気になって来院なさいました。お住まいが遠方ということもあり、負担の少ない部分矯正で短期間に治療する方法をご希望なさいました。




少しずつ歯を小さく形態修正しできたスペースを使って前歯を引っ込めました。さらに、インプラントアンカーで前歯を沈めることでガミースマイルを改善しました。





出っ歯が改善するだけではなく下の前歯が上の歯茎に噛み込んで炎症が起こっていた状態も改善しました。


出っ歯が気になる、治療期間と費用を抑えたい
上顎前突 空隙歯列
前歯部過蓋咬合、上顎前歯唇側傾斜、正中離開
50代 女性
9ヶ月
10回
唇側ブラケット、インプラントアンカー
605,000円+毎月調整代7,260円
矯正治療中は装置の装着により、歯磨きがしにくく、また汚れも溜まりやすいため、虫歯や歯肉炎になりやすいです。また歯を動かすと歯根が短くなることがあります。
※ご紹介している症例は、あくまでも患者様固有の症例ですので、実際には患者さまによって治療期間や、治療法など個人差がございます。