2025/03/31
インビザライン, コルチコトミー, すべての矯正, 叢生, 大人の矯正
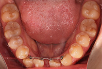
患者様は、上顎が特に小さく、歯のガタガタや口元の突出感、頬の筋肉の緊張が強い状態でした。
上顎が小さいと次のようなことが起こります。
・歯がきれいに並ぶスペースが足りず、ガタガタに
・口元が前に押し出され、口が閉じにくい
・頬の筋肉が常に緊張し、こわばった表情に
矯正治療+上顎拡大で骨格から改善できます。
・歯列のスペースを確保し、ガタガタを改善できます
・筋肉の緊張が和らぎ優しい表情に、唇のバランスも整いより美しい口元へなりました
・上下のバランスが整い、自然でふっくらし凹凸もなめらかになりました
・かみ合わせが安定すると、長期的にバランスの取れた口元へ
矯正は「歯並びを整える」だけではなく、お顔全体の印象や筋肉のバランスにも影響します。
ガタガタが気になる、虫歯になりやすい
叢生
20代 女性
2年0ヶ月
24回
インビザライン、急速拡大装置(MSEⅡ)
矯正+コルチコトミー:1,386,000円+毎月調整代6,050円
矯正治療中は装置の装着により、歯磨きがしにくく、また汚れも溜まりやすいため、虫歯や歯肉炎になりやすいです。また歯を動かすと歯根が短くなることがあります。
※ご紹介している症例は、あくまでも患者様固有の症例ですので、実際には患者さまによって治療期間や、治療法など個人差がございます。
ガタガタの歯並びや虫歯になりやすいことが気になっていました。特に上顎は幅が小さく2本の小臼歯抜歯を行ってもスペースが足りず、歯茎に負担のかかる状態でした。
歯のガタガタや口元の突出感、頬や筋肉の緊張が強く不均等な状態でした。






小さすぎる上顎を縫合線から拡大し、歯が並ぶスペースとリップサポートを改善する治療計画を立てました。
歯の大きさのバランスを整えるため、下は前歯を2本抜歯します。



急速拡大で上顎の骨を作る。



上顎の骨が唇を土台からサポート。



ガタガタが治ると唇の凸凹が治る。






しっかり噛めるようになりました。






かみ合わせが安定すると機能が改善、筋肉もバランスも整います。終了直後よりさらにきれいな唇になります。



