2024/03/29
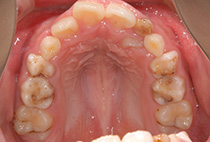
ガタガタの歯並びを気にして兄弟で来院されました。お二人とも歯の大きさに対して上下とも顎が小さくこのままでは八重歯や出っ歯になってしまう歯並びです。
上顎を急速拡大装置で拡大し下顎はリンガルアーチで拡大し歯の生えるスペースを作ってあげることにしました。





上下顎とも横に拡大してきたので歯の生えるスペースができてきました。骨が成長しスペースができると歯は自然に並びだします。左上の内側に入っていた歯もきれいに並んできました。
今後永久歯が生え揃うまで、定期健診で様子を見る必要はあります。犬歯が生える時期にもう一度顎を広げるとブラケットをつける全顎矯正は必要なさそうです。
あいおい歯科では2回目の顎の拡大が必要な場合でも、治療費は毎月調整料のみで治療できます。





叢生
10代 男性
10ヶ月
508,200円+毎月調整代6,050円
矯正治療中は装置の装着により、歯磨きがしにくく、また汚れも溜まりやすいため、虫歯や歯肉炎になりやすいです。また歯を動かすと歯根が短くなることがあります。
※ご紹介している症例は、あくまでも患者様固有の症例ですので、実際には患者さまによって治療期間や、治療法など個人差がございます。
記事はありません
2.急速拡大装置・子供の矯正・10代女性