2024/05/09
ホワイトニング, 全ての症例, 叢生, 大人の矯正, 矯正, 矯正と同時にできる治療, 費用を抑えたい方
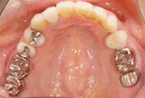
見た目のガタガタや歯の色、噛み合わせのずれ、掃除しにくさ、肩こりや頭痛などお悩みを持って来院されました。噛み合わせの件でいろいろな歯科医院で相談を重ねてきた患者様です。矯正治療だけでなく、被せ物や歯周病治療、ホワイトニングやインプラント治療等トータルケアの治療計画を立てました。





唇側矯正治療で噛み合わせを改善後、ホワイトニングで歯の色を改善しました。右上2番は失活歯で変色が激しかったため、治療期間中はウォーキングブリーチ、矯正治療終了後にオールセラミックスで審美性を改善しました。
合っていなかった被せ物のやり直しや、インプラント治療を行いました。噛み合わせを改善したため、過緊張していた顎の筋肉が元に戻り、フェイスラインがすっきりしました。左右の非対称も改善し、頭痛や肩こりがずいぶん軽くなりました。





叢生
30代 女性
1年5ヶ月(トータル2年5ヶ月)
24回
955,900円+毎月調整代6,050円
矯正治療中は装置の装着により、歯磨きがしにくく、また汚れも溜まりやすいため、虫歯や歯肉炎になりやすいです。また歯を動かすと歯根が短くなることがあります。
※ご紹介している症例は、あくまでも患者様固有の症例ですので、実際には患者さまによって治療期間や、治療法など個人差がございます。