2024/05/09
できるだけ歯を抜かない矯正, 全ての症例, 叢生, 大人の矯正, 時間効率の良い矯正, 目立ちにくい矯正, 矯正, 矯正と同時にできる治療
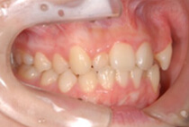
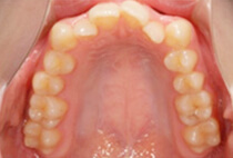
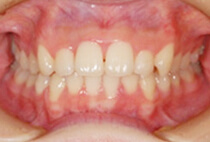
前歯のガタガタを気にして来院されました。なるべく抜かずに、短い治療期間で矯正治療を終わらせる治療をご希望されました。スピード矯正治療で、なるべく早期に前歯の審美性を改善することにしました。





コルチコトミー(スピード矯正処置)後1ヶ月の様子です。



上顎のみの舌側矯正治療ですが、下の歯には治療後半の噛み合わせを調節する段階で装置をセットしました。コルチコトミーを行ったことで、1ヶ月後には前歯のガタガタが大幅に改善できました。また、治療期間の短縮でけでなく、非抜歯できれいな歯並びに治療できました。





叢生
20代 女性
1年2ヶ月
18回
1,379,400円(+コルチコトミー121,00円)+毎月調整代7,260円
矯正治療中は装置の装着により、歯磨きがしにくく、また汚れも溜まりやすいため、虫歯や歯肉炎になりやすいです。また歯を動かすと歯根が短くなることがあります。
※ご紹介している症例は、あくまでも患者様固有の症例ですので、実際には患者さまによって治療期間や、治療法など個人差がございます。