2024/05/09
全ての症例, 叢生, 大人の矯正, 目立ちにくい矯正, 矯正
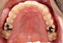
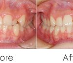
前歯のガタガタを気にして来院されました。人前でお話をするお仕事のため、なるべく目立たない矯正治療をご希望されました。
右側の噛み合わせに違和感を感じており、見た目だけでなく噛み合わせも改善したいと考えています。





歯並びのアーチを全体的に大きくし、部分的に歯の大きさを少しずつ小さくすることで歯を並べるスペースを作りました。インビザラインの透明なアライナーは、治療期間中、周りに気を使うことなく順調に治療が終わりました。
噛み合わせは左右対称的に噛めるようになり、治療前の違和感がなくなりました。





叢生
30代 男性
1年3ヶ月
15回
1,076,900円+毎月調整代6,050円
矯正治療中は装置の装着により、歯磨きがしにくく、また汚れも溜まりやすいため、虫歯や歯肉炎になりやすいです。また歯を動かすと歯根が短くなることがあります。
※ご紹介している症例は、あくまでも患者様固有の症例ですので、実際には患者さまによって治療期間や、治療法など個人差がございます。