2024/05/07
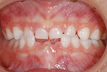
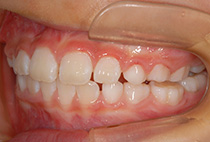
受け口を気にして来院されました。お母様も反対咬合のため、遺伝的な影響も大きいと考えられます。下顎に対して上顎が小さいため、上顎の拡大を急速拡大装置で行い、上顎の成長を後押ししてあげる必要があります。この治療は子供のころにしかできません。



上顎を横と前方に成長促進する治療を行いました。上下裏側に装置を付け、夜寝時に顔に付ける装置を使ってもらいました。上顎を成長させることでお鼻の付け根が高くなり、バランスのとれた横顔になりました。



反対咬合
5歳 女性
2年
18回
508,200円+毎月調整代6,050円
矯正治療中は装置の装着により、歯磨きがしにくく、また汚れも溜まりやすいため、虫歯や歯肉炎になりやすいです。また歯を動かすと歯根が短くなることがあります。
※ご紹介している症例は、あくまでも患者様固有の症例ですので、実際には患者さまによって治療期間や、治療法など個人差がございます。