2024/05/07
こどもの矯正, すべての矯正, 歯を抜かない矯正, 過蓋咬合
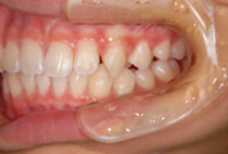
上下顎とも永久歯が並ぶスペースが足りないうえに、噛み合わせが深く顎関節に大変ストレスがかかりやすい窮屈な歯並びになっています。下顎の成長は受け皿になっている上顎が十分な大きさに成長していないと、ゆったり成長することができません。
上顎の拡大を急速拡大装置で行い、上顎を成長させてから、夜使う取り外し式のFKO装置で下顎の成長を促す治療計画を立てました。





お口の中の装置は1年3ヶ月後に終了しました。夜のFKO装置で定期健診になってから2年後の写真です。FKO装置も卒業になりました。
上下ともにゆったりした歯並びになると同時に、下顎も十分に成長してきました。結果、噛み合わせも正常な噛み込み状態になりました。これから永久歯が生えそろうまで3~6ヶ月ごとの定期検診が続きますが、ブラケットを使用しての全顎矯正治療は必要なさそうです。





過蓋咬合
10代 男性
1年3ヶ月
16回
508,200円+毎月調整代6,050円
矯正治療中は装置の装着により、歯磨きがしにくく、また汚れも溜まりやすいため、虫歯や歯肉炎になりやすいです。また歯を動かすと歯根が短くなることがあります。
※ご紹介している症例は、あくまでも患者様固有の症例ですので、実際には患者さまによって治療期間や、治療法など個人差がございます。