2024/10/23
上顎前突, 全ての症例, 叢生, 大人の矯正, 矯正, 矯正と同時にできる治療, 費用を抑えたい方, 部分矯正
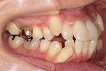
前歯の形とガタガタが気になって来院なさいました。できるだけ目立たないように上顎は裏側からの装置を使用。ガタガタを治すため4本抜歯しました。装着されていたラミネートを除去しご自分の歯を形態修正することで口元の雰囲気が大きく変わりました。
矯正治療後虫歯の治療を行いました。
出っ歯が改善し唇も閉じやすくなったため前歯の着色も付きにくくなりました。
出っ歯とがたがたが気になる、治療期間と費用を抑えたい
上下顎前突・叢生
前歯部叢生、不良補綴物、正中離開
40代 女性
9ヶ月
10回
ハーフリンガル
496,100円+毎月調整代7,260円
矯正治療中は装置の装着により、歯磨きがしにくく、また汚れも溜まりやすいため、虫歯や歯肉炎になりやすいです。また歯を動かすと歯根が短くなることがあります。
※ご紹介している症例は、あくまでも患者様固有の症例ですので、実際には患者さまによって治療期間や、治療法など個人差がございます。






引き続き虫歯の治療をしました。


